يعتبر مرض السرطان من أشد الأمراض فتكاً بحياة الإنسان ولاتتوقف الجهود الحثيثة من قبل العلماء والباحثين لكسر أبواب غموض هذا المرض وإيجاد علاج قادر على الحد من انتشاره و القضاء عليه... ولضيفنا الأزهري الدكتور خالد الأودن تجربة فريدة بإجراء أول عملية تنجح في إزالة ورم سرطاني بحقن العسل، فجمع خلال مشواره البحثي بين الدراسات العلمية والإعجاز القرآني مؤكداً أن هذا الاكتشاف قد ينهي معاناة المريض مع العلاج الإشعاعي والكيميائي ويفتح باب الأمل للشفاء التام الذي تحقق للحالة التي خضعت للعلاج بحقن العسل .
كيف كانت البداية؟ وماهو الاستناد الذي قامت عليه أبحاثك في استخدام العسل كعلاج للخلايا السرطانية ؟
لم أدرك الدلالات العلمية للآية الكريمة عن العسل في قوله تعالى { فيه شفاء للناس } إلا بعد سلسلة من الأبحاث في مجال علاج السرطان والأورام الخبيثة ووسائل علاجها الإشعاعي منها والكيميائي وخلافه... وقد أثبتت الدراسات خلال عملي بمستشفى كارولينا في العاصمة السويدية استكهولم تأثير الوسط الحمضي على خلايا سرطان المخ المعروف باسم ( الجليوما ) والذي يُعدّ أحد تحديات علم الأعصاب ويعتبر طبياً متوسط عمر المصاب به مع التدخل الجراحي 7 أشهر وفي حالة إضافة العلاج الإشعاعي يزيد إلى 12 شهراً- والأعمار بيد الله- , فبدأت أفكر في العسل كوسط حمضي ومنها إلى التركيز في أبحاثي على حبوب اللقاح لأتوصل إلى أن نوعاً معيناً منها له تأثير محبط على بعض الخلايا السرطانية وبدأت بإجراء التجارب على الفئران قبل أن أرسل البحث العلمي إلى اللجنة العلمية للمؤتمر العالمي الثالث عشر لأورام المخ وعلاجه الذي عقد في اليابان. وقد لاقى البحث ترحيباً كبيراً من اللجنة العلمية للمؤتمر .
|
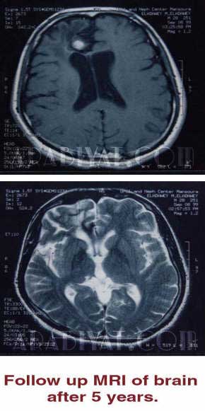
ماذا عن الحالة التي قمتم بتطبيق العلاج عليها ؟ في عام 94م تم تحويل أحد المرضى لي مصحوباً بأشعة مقطعية على المخ تشير إلى وجود ورم كبير بحجم البرتقالة تقريباً بالفص الأمامي للمخ ثبت أنها ورم سرطاني وقد رفض المريض الخضوع للعلاج الإشعاعي أو الكيميائي فحصلت على الموافقة لوضع 3 سم من العسل ولقاحه مكان الجرح وتكرر ذلك إلى أن تم إجراء أشعة على المخ للمتابعة فتبين أن الورم السرطاني قد انكمش واستمر العلاج لشهور شهدت تقدماً مطرداً تبعها إجراء أشعة دورياً وأخيراً بعد خمس سنوات خرجت النتائج النهائية تؤكد اختفاء الورم وتبين عدم وجود أي ارتجاع له ، وقد اصطحبت المريض الذي كتب الله له الشفاء بهذا العلاج إلى المؤتمر الطبي الخاص بجراحة المخ والأعصاب لشرح التجربة كاملة وهو بالمناسبة يمارس اليوم حياته بشكل طبيعي . إذن لماذا لم يتم الاعتراف بهذا العلاج واعتماده كبديل للعلاج الكيميائي والإشعاعي والجراحي ؟ البحث العلمي لايزال بحاجة لاستكمال بعض النقاط البحثية على مستوى البيولوجية الجزئية حتى يكتمل، واليوم هناك رؤوس مواضيع بحثية مفتوحة في جميع مراكز البحوث للبحث عن علاج جديد للسرطان معتمدين على ما يسمى بالجزئية الحيوية والجزئية السرطانية... لذلك أوجه ندائي لمراكز البحوث العربية والإسلامية لدعم هذا البحث الذي يتناول علاج الأورام السرطانية ببروتينات عسل النحل، فمن العار أن ينجزه أو يتممه شخص أو مركز غير عربي وغير مسلم وأعتقد أننا كمسلمين قد جاء الدور علينا الآن لكي ندلو بدلونا ونقدم شيئاً جديداً في هذا المضمار فالعلاقة بين المسلمين والقيمة العلاجية لعسل النحل معروفة وبإثبات قدرتها على علاج أخطر أمراض العصر سنقدم إعجازاً طبياً جديداً في القرآن قد يهز العالم الذي لايزال يحبو في أبحاث الجزئية الحيوية ويعاني تحت وطأة الأعراض الجانبية للعلاج الكيميائي والإشعاعي الذي يأخذ معه الكثير ولايزر إلا القليل . يبدو أن هذا البحث بقي عالقاً عند مرحلة معينة ولسنوات عديدة فماهو السبب ؟ وهل لدى مراكز البحث المحلية أو العالمية تحفظ علمي على تبنيه ؟ فعلا الموضوع شبه متوقف عن أى إضافة منذ عام 2000 والمشكلة في عدم وجود الدعم المادي أو المعنوي ... فقد قدمت شيئاً عندما كنت قادراً على ذلك بحدود إمكانياتي الشخصية... وعندما انتهت مواردي توقف كل شئ... كنت أراهن على أنه بعد نجاح الخطوة الأولى وتقديمها وقبولها عالمياً لابد وأن أجد الدعم داخل عالمنا العربي والإسلامي خاصة وأن مشروع بحثي, نتائجه الأولى مبشرة و تم قبول الفكرة في 3 او4 مؤتمرات عالمية لم يرد في أي منها تحفظات من أى نوع علماً أن اللجان العلمية لهذه المؤتمرات هم مدراء وأعضاء أكبر المراكز البحثية العالمية.... وكل ما ينقصنا هو الإمكانيات . هل لك أن تذكر لنا تلك المؤتمرات ؟ هذا البحث تم تقديمه وقبوله في 4 مؤتمرات علمية عالمية هي : ـ المؤتمر العالمي الثالث عشر لأبحاث أورام المخ وعلاجها, اليابان أكتوبر 1999. ـ المؤتمر الآسيوي الاسترالي العاشر لجراحي المخ والأعصاب, لاهور نوفمبر 1999. ـ المؤتمر الأوربي الرابع لأورام الجهاز العصبي, كوبنهاجن يونيو 2000. ـ المؤتمر العالمي الثالث ( جليوما من الجينات وحتى العلاج ) أمستردام ابريل 2001. أضفت العديد من التفاصيل عن المشروع البحثي في منتدى عربيات وقد تابعنا ذلك ووجدنا تفاعل كبير من قبل القراء ورواد الموقع فكيف بدأت علاقتك بالمنتدى ؟ بالنسبة لمعرفتى بمنتدى عربيات فقد جاءت مصادفة أثناء استخدامي لمحركات البحث على الإنترنت فوجدت اسمي في المنتدى وانتقلت للرابط لأجد موضوع البحث المنشور بمجلة الأهرام العربي مطروحاً للنقاش, وتفاعلت مع ذلك مضيفاً بعض المداخلات ومشيراً إلى أن البحث يحتاج للدعم حتى يتم استكماله واعتماد العلاج... ومع تبني إحدى الأخوات الفضليات لحملة داعمة للبحث قمت بإدراج بعض الخطوات المطلوبة في هذا الإطار ودراسات للجدوى الإقتصادية منه للجهات الداعمة . هل بالإمكان تحديد وسائل الدعم المطلوبة لإتمام البحث ؟ الأولى أن توجد في أي دولة عربية أو إسلامية إمكانيات وكوادر تعمل في مجال الجزئية الحيوية وفي هذه الحالة كل ما أطلبه هو أن يتم دعوتي للعمل المشترك لنشر ورقتين علميتين تحملان اسمي واسم كل من سيشارك فيها . والثانية في حال عدم وجود تلك الإمكانات لدينا فان هناك عرض من جامعة ماكجيل/ كندا لعمل رسالة دكتورة حيث توجد تلك الإمكانيات بكفاءة عالية ولكنهم اشترطوا وجود دعم مادي لفترة تواجدي هناك ( ثلاث سنوات ) وهو ما عجزت عنه. ماذا عن الجدوى الاقتصادية التي يمكن أن تعود على الجهة الداعمة ؟ من المعروف أن شركات الدواء تعتبر من أكثر الشركات ربحية في العالم ولكننا نعتبر مجرد سوق لمنتجاتها حيث لاتقيم أي مراكز أبحاث حقيقية في بلادنا لاستنباط أدوية أو جزيئات علاجية جديدة خشية من أن نفهم ( الفولة ) كما يقال ونبدأ بمنافستها... ولعلنا نتعجب عندما نعلم أن عدد كبير من كوادرنا وعلمائنا والباحثين بتلك الشركات العالمية هم من أبنائنا... ومع حقوق الملكية الفكرية التي أصبحت تقض مضاجع القائمين على شركات صناعة الدواء العربية والتي يقتصر دورها على شراء المواد الخام وتعبئتها وطرحها في الأسواق تحت أسماء جديدة لن يصبح لذلك الإنتاج قيمة لأنه يبقى وفق قوانين الملكية الفكرية الجديدة من حق الشركة المكتشفة للجزيء الفعال ولن تتمكن الشركات العربية من استخدامه إلا بعد مرور عشرات السنين يكون خلالها قد انتهى دوره وظهر دواء أحدث أو أنها تصبح بحاجة لتصريح من الشركة المكتشفة والتي ستفرض شروطها... فعلى القائمين على شركات الدواء الوطنية إدراك أنه لابد من وجود مراكز أبحاث حقيقية لاستنباط أدوية جديدة داخل مصانعنا وبالطبع يمكن لأى من هذه الشركات أن تعتبر هذا المشروع نواة لإنشاء مركز أبحاث للجزئية الحيوية والسرطانية ولاكتشاف أدوية جديدة والدخول في المنافسة العالمية تفادياً للسقوط عند تطبيق اتفاقية الجات . |
|
تطرقت إلى العائد الإعلاني للشركة أو الممول لأبحاث من هذا النوع فهل لك أن تشرح لنا ذلك ؟
لدى تجربة شخصية سأرويها فقد وصلني على البريد الالكتروني خطاب منذ عدة أشهر يدعوني للتقدم لجائزة الإبداع العلمي لعام 2006م وهى جائزة تقدر بـ 100000 دولار أمريكي وتقدم لأى مشروع بحثي يمكن أن يفيد البشرية ومن بين الشروط التي تدعو للتأمل هو عدم الممانعة من استخدام اسم الفائز بالجائزة دعائيا من قبل شركة عالمية شهيرة لإنتاج الساعات السويسرية ولم أكن قبل وصول هذا الخطاب أعلم عن هذه الجائزة ولكنها لفتت انتباهي للأسلوب الدعائي الذي يستثمر ويدعم الإنتاج العلمي والطبي .
ما الذى يجعلك تعتقد أن هذا العلاج سينجح إذا ما حصل على الدعم المطلوب ؟
النتائج المعملية الأولية وحالة مريض شفى تماما من أسوء أنواع سرطان المخ باستخدام هذه الوسيلة فقط - وان تمت بصورة اولية فى ذلك الوقت- دون استخدام أى علاج كيميائي أو إشعاعي أو خلافه ولايزال حيا يرزق حتى تاريخه و بعد أكثر من 10 سنوات على علاجه.
من خلال مقالاتكم في منتدى عربيات لمسنا وجود محاولات أخرى لاستنباط العلاج من آيات قرآنية فهل قطعتم شوط كبير في أي منها أو أنها لاتزال في مراحل الشك واليقين ؟
هي مجرد رءوس مواضيع لمشاريع بحثية مفترضة تخدم ديننا ودنيانا وأردت أن الفت الأنظار إليها ولكنها ليست علاجية أو دوائية فيما تم عرضه حتى الآن باستثناء موضوع أو موضوعات القيمة العلاجية لعسل النحل .









